- About
- Cosmetic Dentistry
- Services
- Dental Implants
- Orthodontics
- Root Canal
- Sedation Dentistry
- Metal Free Dental Fillings
- Porcelain Dental Crowns
- Full Mouth Reconstruction
- Emergency Dentistry
- Holistic Dentistry
- Dental Bridges
- Dental Stem Cell Bank
- Immediate Dental Implants
- Tooth Extraction
- Sleep Apnea
- Safe Amalgam Removal
- Bone Graft for Dental Implants
- All-on-4® Dental Implants
- Ozone Therapy
- HPV Test
- Children Dentistry
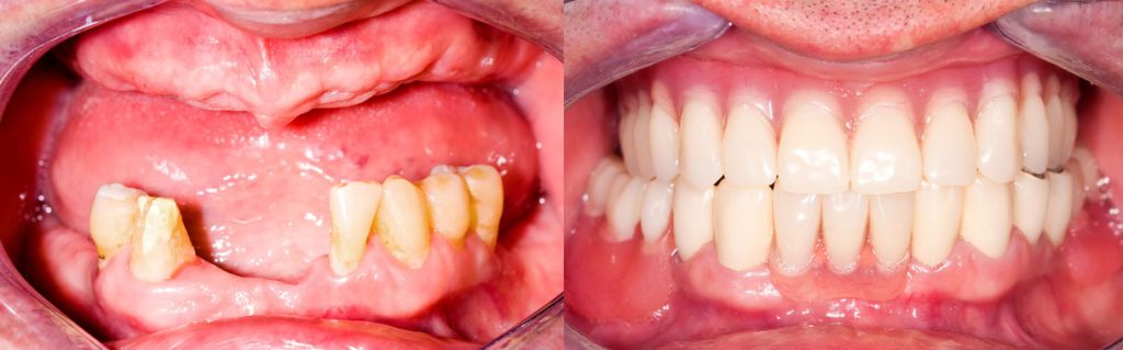
- Before & Afters
- Contact