
Everyone knows that Valentine’s Day is a time for love – and dates. This means you want to be able to smile without embarrassment. You want to look real and have some self-esteem when you do part those lips and show those beautiful teeth. You also want to have fresh breath so that you can give that kiss without having to cut it short, or worry about having bad breath.
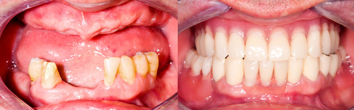
Get Your Teeth Looking Their Best
If you are concerned about how your smile looks, you can get ready for your Valentine’s date by getting teeth cleaning and teeth whitening at your local dentist’s office. Afterwards, you can have confidence in your smile and you can be sure that your date would be glad to kiss someone with a beautiful smile.
Having white and clean teeth will also help you deal with bad breath. When kissing, it can sure cause things to be cut short – and on Valentine’s Day you don’t want that to happen. This can sometimes be caused with bacteria in your mouth left between brushings because a toothbrush cannot get to it. A cleaning can help remove tartar, plaque and other bacteria that will cause bad breath.