How to be Prepared for Dental Emergencies

Dental emergencies can be tricky to handle, especially because these type of emergencies are not something that you can prepare for and can cause you a lot of pain and discomfort. In most cases, you will need to take care of the issue quickly so that it does not cause more problems in the future. If you ignore dental emergencies, you can easily even lose a tooth as a result. Some of the most common dental emergencies that you may encounter include:
A Toothache – If you are experiencing a painful toothache, there is most likely something that needs professional help to take care of the pain. The underlying issue could be anything from an infection to an exposed root. To help ease the pain, you can rinse your mouth with warm water to remove any food particles that may be caught in or between your teeth.
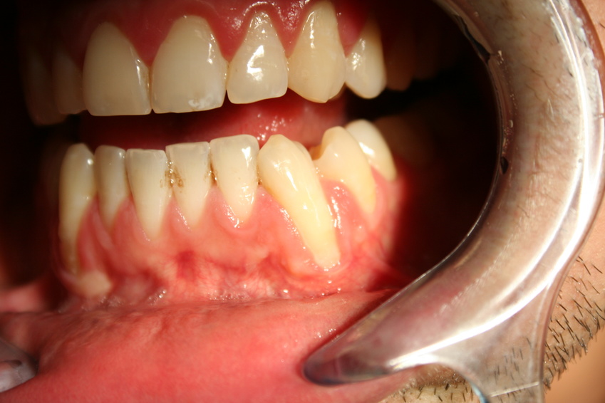
How to Treat Gum Recession

Have you noticed that your gums do not look quite the same recently? Do your teeth seem like they are covered less by your gums? This is a condition that is known as gum recession; in fact, nearly one in every two people have gum recession or some type of periodontal disease.
Same Day Tooth Replacement (All-on-4) Vs. Traditional Dental Implants

When you have an imperfect smile, tooth replacement is something that many patients consider to get their smile back and help them gain self-confidence. Some dentists prefer traditional dental implant methods, while others are more intrigued by more modern procedures. What is the difference between these methods, and which one is right for you?